

Transforming Smiles, Changing Lives
At 1.618 Dental, we believe every smile has a story. Our expert dental care has helped countless patients achieve their dream smiles with advanced cosmetic and restorative treatments. See the difference for yourself in our Before & After gallery – real results, real confidence, and real transformations.
✅ Natural-looking restorations
✅ Smile makeovers tailored to you
✅ Expert care with proven results
Your perfect smile is just one step away. Book a consultation today!


Complete Denture


Complete Denture


Complete Denture


Complete Denture


Complete Denture


Complete Denture


Complete Denture


Complete Denture


Complete Denture


Fixed Partial Denture


Fixed Partial Denture


Dental Crowns


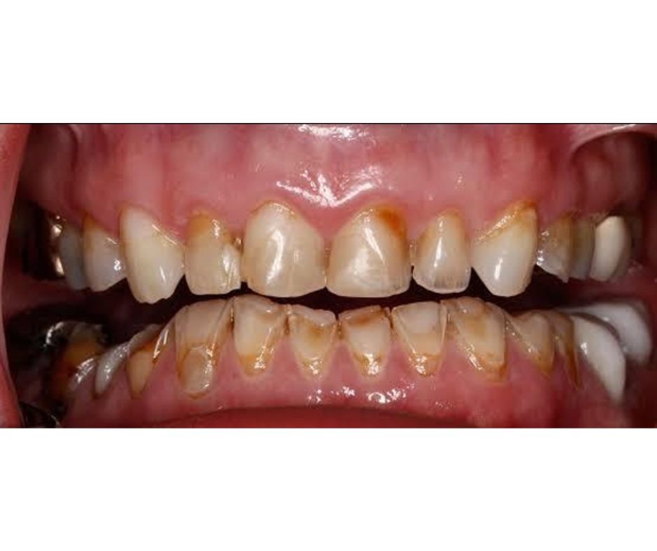
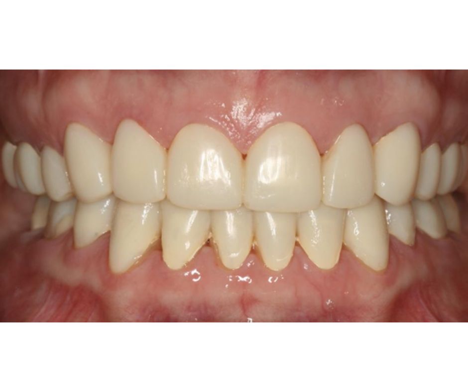
Severe Fluorosis


Constricted Arch ‘Thumb sucking habit’


Orthodontic Treatment


Teeth Cleaning & Polishing


Teeth Cleaning & Polishing


Fractured Mandible | Fracture Repaired


Dental Crowns


Dental Crowns


Smile Designing


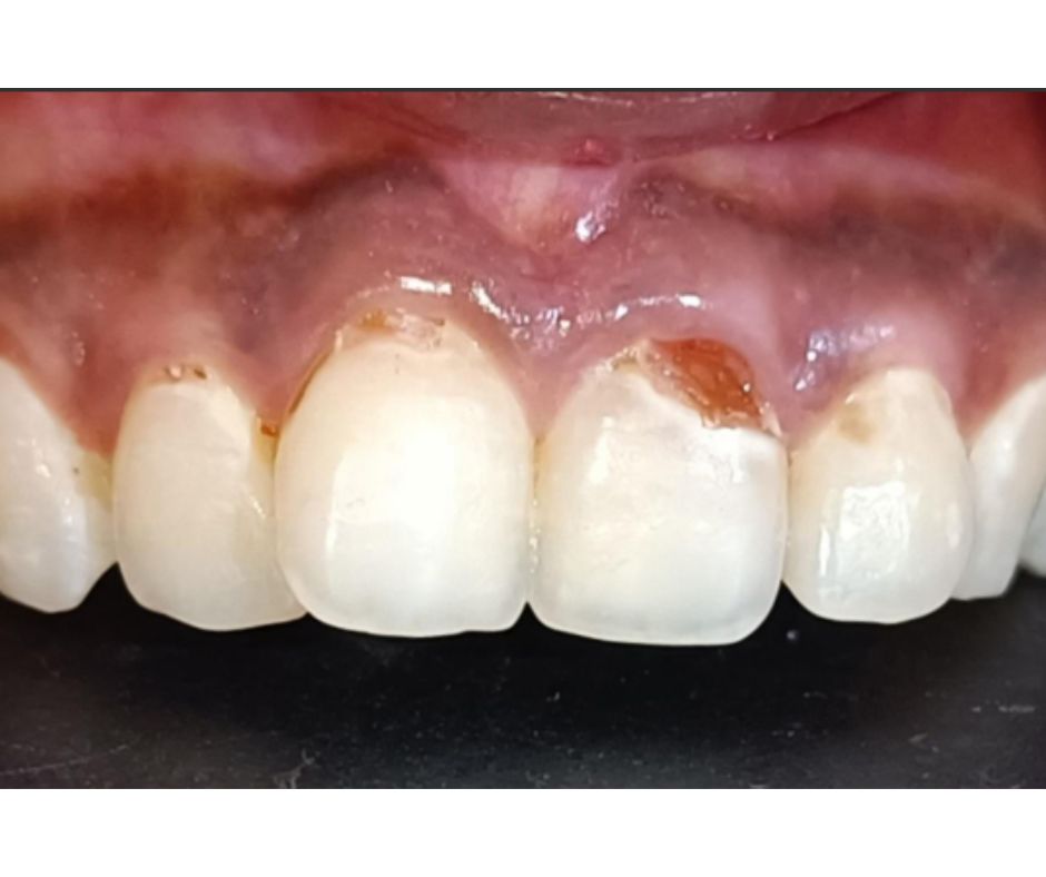
Tooth Coloured Filling


Orthodontic Treatment


Teeth cleaning & polishing


Teeth Cleaning & Polishing


Teeth cleaning
